Kdy je zub mrtvý? Znamení, příčiny a co dělat, když zub přestane reagovat

Kdy je zub mrtvý? Znamení, příčiny a co dělat, když zub přestane reagovat

pro, 28 2025

Zkontrolujte své zuby - nástroj pro identifikaci příznaků mrtvého zubu

Kontrolujte své zuby

Zkontrolujte, zda máte některé z následujících příznaků mrtvého zubu. Pokud jste zaznamenali výše uvedené příznaky, je důležité se co nejdříve obrátit na zubaře.

Změna barvy zubu
Ztráta citlivosti
Zápach z úst
Oteklost nebo vřed
Bolest při kousnutí
Dlouhodobá citlivost

Zub přestal reagovat na teplé či studené pití, už vás nebolel ani po týdnu, ale něco vám říká, že to není v pořádku. Možná je mrtvý. Nebo jen zatím ne? Mnoho lidí si myslí, že když zub přestane bolet, je všechno v pořádku. To je největší omyl, který může stát vaše zuby. Mrtvý zub není jen o bolesti - je to signál, že tkanivo uvnitř zubu zemřelo. A to může vést k větším problémům, než si představujete.

Co znamená, že je zub mrtvý?

Zub není jen tvrdá hmotnost. Uvnitř má cévy, nervy a krevní oběh - to je tzv. zubní pult. Když je zub zdravý, tento systém dodává zubu život. Když se ale infekce nebo poškození dostane hluboko dovnitř, může zničit tyto tkáně. Když nervy a cévy zemřou, zub přestává být živý. Říkáme mu mrtvý zub nebo nekróza zubu.

Nejčastější příčiny jsou:

  • hluboká zubní kaz, který se dostal až k pultu
  • zranění zubu - například po dopadu nebo úrazu
  • opakované zubní léčby, které zub přetížily
  • velmi silné bruxismus (škrábaní zuby)

Ne každý kaz vede k mrtvému zubu. Ale když se kaz rozšíří do pultu, bakterie začnou ničit nervy. A když nervy zemřou, zub už nemůže cítit bolest - což je důvod, proč lidé často zpožďují návštěvu zubaře. Přestalo to bolet - takže to musí být v pořádku? Ne.

Jak poznáte, že je zub mrtvý?

Nejčastější příznaky nejsou tak jednoduché, jak se zdá. Některé se objeví pomalu, jiné náhle.

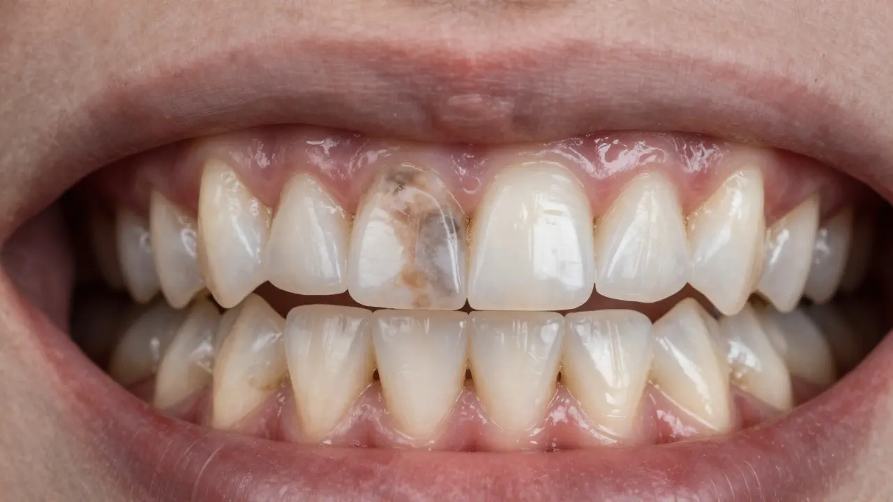
  • Zub změní barvu - začne být šedý, žlutý nebo hnědý, zatímco ostatní zuby zůstávají bílé. To je jeden z nejspolehlivějších příznaků. Barva se mění, protože krevní oběh přestal fungovat a krevní buňky se rozkládají uvnitř.
  • Nebolest - pokud jste dříve měli citlivost na studené nebo teplé, a náhle přestala, je to často známka, že nervy zemřely.
  • Zápach z úst - když se mrtvé tkáně rozkládají, vznikají odpadní látky, které mají charakteristický zápach. Někdy se označuje jako „zápach mrtvého zubu“.
  • Oteklost nebo vřed na dásni - infekce se může šířit do dásně a vytvořit hnisavý vřed (fistula). To je varovný signál, že infekce už může ohrozit i kost.
  • Bolest při kousnutí - i když zub nebo citlivost na teplotu zmizela, může začít bolet, když na něj tlačíte. To znamená, že infekce se rozšířila do okolní kosti.

Ne každý mrtvý zub se projeví všemi příznaky. Některé zuby mohou být „tiché“ - žádná bolest, žádná barva, jen na rentgenovém snímku se ukáže, že pult je zničený. Proto je důležité pravidelně chodit na kontrolu. Nečekejte, až se něco projeví.

Co se stane, když mrtvý zub necháte být?

Mrtvý zub se nezahájí sám. Nezacházíte s ním jako s něčím, co „se samo vyřeší“. Naopak - když ho necháte být, infekce se šíří.

Infekce se může rozšířit:

  • do dásně - vytvoří se absces, který může způsobit oteklost tváře, horečku, bolest hlavy
  • do kosti - ničí kost kolem zubu, což znamená, že zub ztrácí oporu a může vypadnout
  • do krve - bakterie se mohou dostat do krevního oběhu a ovlivnit i jiné orgány - srdce, mozek, klouby

Podle studie z Journal of Endodontics se u 38 % pacientů s nelečeným mrtvým zubem objevily komplikace v průběhu jednoho roku. Většina z nich potřebovala vyjmutí zubu a dlouhou léčbu antibiotiky.

Nejhorší? Mrtvý zub může způsobit ztrátu i sousedních zubů. Když se infekce rozšíří do kosti, může poškodit kořeny sousedních zubů. A to je už problém, který se nevyřeší jen zubním plombováním.

Co dělat, když máte mrtvý zub?

Existují dvě možnosti: zachránit zub nebo ho vyjmout. Vše záleží na stavu zubu a včasnosti zákroku.

1. Kořenová léčba (endodontie)

Je to nejčastější a nejúspěšnější řešení. Zubař otevře zub, odstraní mrtvé tkáně, vyčistí kořenové kanálky a naplní je speciální hmotou. Zub se pak zaplní a obvykle se překryje korunkou.

Úspěšnost kořenové léčby je vysoká - u 90-95 % případů zub přežije dalších 10 až 15 let, pokud je správně ošetřený a udržován. V České republice je kořenová léčba běžná a dostupná u většiny zubních klinik.

2. Vyjmutí zubu

Pokud je zub příliš poškozený - například má velkou trhlinu, nebo kost kolem něj je zničená - nemá smysl ho zachraňovat. Vyjmutí je pak jediná možnost, aby infekce nešla dál.

Po vyjmutí je důležité zvážit náhradu - implantát, most nebo zubní protézu. Když chybí zub, ostatní se posouvají, široko dál se mění kousací plocha a může dojít i k problémům s kloubem čelisti.

Příčný řez zubem s mrtvým pultem a bakteriemi, kontrastující s zdravým pultem.

Je možné zub „oživit“?

Ne. Když nervy a cévy zemřou, není možné je znovu aktivovat. Žádné domácí prostředky, žádné pasty, žádné výplachy nevrátí život mrtvému zubu. Kořenová léčba není „oživení“ - je to odstranění mrtvé tkáně a zamezení dalšímu poškození. Zub už nikdy nebude cítit teplotu, ale může fungovat jako normální zub - kousat, držet se, vypadat přirozeně.

Nejde o to, aby zub „byl živý“ - jde o to, aby nebyl hnízdem infekce.

Co můžete udělat, abyste předešli mrtvému zubu?

Nejlepší léčba je prevence.

  • Pravidelné kontroly - alespoň jednou ročně. Zubař vidí na rentgenu problémy, které vy nevidíte.
  • Brusky a zubní kaz - nečekajte, až vás bolejí. Malý kaz je snadno a levně vyplněný. Velký kaz je riziko mrtvého zubu.
  • Štětěc a nit - čistěte si zuby dvakrát denně a používejte zubní nit. Zbytky jídla v mezizubních prostorech jsou největší příčinou kazů.
  • Chraňte zuby před úrazy - pokud sportujete, používejte zubní štít. I malý dopad může poškodit nervy uvnitř zubu.
  • Neignorujte citlivost - pokud zub reaguje na teplotu déle než několik dní, jděte k zubaři. To není „jen citlivost“ - může to být začátek infekce.

Co se stane, když zub zůstane mrtvý bez léčby?

Časem se infekce rozšíří. Může se objevit oteklost tváře, horečka, bolest hlavy. V některých případech se infekce dostane až do krku nebo do mozku - což je životně nebezpečné. V Česku se každoročně objeví přes 200 případů vážných komplikací způsobených nelečenými zubními infekcemi.

Je to zřídka, ale stává se. A není to náhoda - je to důsledek toho, že lidé čekají, až „to přejde“.

Mrtvý zub není jen o zubu. Je to o vašem celkovém zdraví.

Mrtvý zub se rozkládá v zemi, kořeny se šíří jako infekce do okolní kosti.

Je mrtvý zub vidět na rentgenu?

Ano. Na rentgenovém snímku se mrtvý zub projeví jako tmavší oblast kolem špičky kořene - to je známka zánětu nebo infekce v kosti. Zubař si také všimne, že kořenové kanálky jsou zúžené nebo zcela zablokované, což je další příznak, že pult zemřel.

Je to jediný spolehlivý způsob, jak potvrdit stav zubu, když nejsou vidět žádné příznaky. Proto je důležité mít pravidelné rentgeny - obvykle každé 2-3 roky, nebo dříve, pokud máte rizikové faktory.

Je mrtvý zub nebezpečný pro ostatní zuby?

Ano. Infekce se šíří nejen do kosti, ale i do okolních zubů. Bakterie se mohou dostat do mezizubních prostorů a způsobit kaz i sousedním zubům. Když se kost kolem mrtvého zubu ničí, může ztratit oporu i pro zuby vedle. To znamená, že mrtvý zub může vést k vícenásobné ztrátě zubů - nejen jednoho.

Je to jako požár v domě - když nezhasnete jednu místnost, může se rozšířit do celého domu.

Co dělat, když jste si všimli příznaků?

Nechte si zub zkontrolovat. Nečekejte. Nezkoušejte domácí léky. Nečekejte, až se to „zhorší“ - protože to se zhorší. Nejlepší čas na léčbu je hned, jak si všimnete změny.

Pokud máte:

  • změnu barvy zubu
  • zmizení citlivosti po dlouhé bolesti
  • zápach z úst bez jasných příčin
  • oteklost dásně

…jděte k zubaři do dvou dnů. Ne čekat týden. Ne měsíc. Mrtvý zub nečeká. A vaše zdraví ani.