Jak mezizubní kaz ovlivňuje celkové zdraví? Vše, co potřebujete vědět

Jak mezizubní kaz ovlivňuje celkové zdraví? Vše, co potřebujete vědět

úno, 24 2026

Rizikový analyzátor mezizubního kazu

Vyhodnoťte své riziko vývoje mezizubního kazu a jeho dopadu na celkové zdraví. Tento nástroj vám pomůže pochopit, jak často je potřeba čistit mezi zuby, a co může přinést zanedbání.

Mezizubní kaz není jen o zubní bolesti. Je to skrytá hrozba, která se šíří tam, kde většina lidí nevidí - mezi zuby. A když se nezachytí včas, začne ničit nejen zuby, ale ovlivňuje celé tělo. Mnoho lidí si myslí, že to je jen malý problém, který se vyřeší zubní štětci. Ale pravda je jiná. Mezizubní kaz je často první známkou systémového zánětu, který může vést k vážnějším onemocněním - od srdečních chorob až po cukrovku.

Co je mezizubní kaz a jak vzniká?

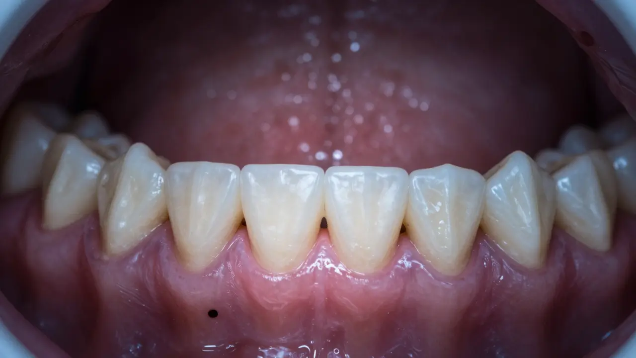
Mezizubní kaz je druh zubního kazu, který se vyvíjí mezi zuby, kde zubní štětec nedosáhne. Vzniká, když se na povrchu zubů a v mezizubních prostorech hromadí zubní plak - tenká, lepkavá vrstva bakterií. Tyto bakterie žijí na zbytkách potravy, zejména na cukrech a sacharidech, a produkují kyselinu. Tato kyselina postupně rozkládá sklovinku zubu - a protože mezizubní oblasti jsou těžko přístupné, kaz se tam rozvíjí bez pozornosti.

Na rozdíl od kazu na čelisti, který je vidět, mezizubní kaz začíná skrytě. První příznaky jsou často jen mírné citlivosti při jídle nebo pít. Až později, když kaz dosáhne zubního nitra, se objeví bolest. Ale to je už pozdě. Většina lidí si toho nevšimne, dokud nezačne bolet - a když už bolest nastane, je často příliš pozdě na jednoduché řešení.

Proč je mezizubní kaz tak nebezpečný?

Nebezpečí mezizubního kazu není jen v tom, že zub ztrácíte. Je v tom, co se děje v těle, když se bakterie z mezizubních prostor dostanou do krve. Když jsou dásně zánětlivé (což je častý doprovod mezizubního kazu), bakterie vstupují do krevního oběhu. To může způsobit systémový zánět - a ten je spojený s mnoha vážnými onemocněními.

Podle studie z Journal of Clinical Periodontology z roku 2024 lidé s chronickým zánětem dásní mají o 30 % vyšší riziko srdečního infarktu. Proč? Bakterie z ústní dutiny, jako je Porphyromonas gingivalis, se mohou usadit na stěnách cév a přispívat k tvorbě aterosklerotických plaků. To znamená, že zubní plak může být příčinou zablokování tepen.

Dále je spojení s cukrovkou. Zánět dásní zhoršuje citlivost na inzulin - což znamená, že tělo lépe neabsorbuje cukr. Lidé s cukrovkou mají také třikrát vyšší riziko vývoje zánětu dásní. Je to cyklus: jedno onemocnění podporuje druhé. A mezizubní kaz je často výchozím bodem tohoto cyklu.

Které další zdravotní problémy může způsobit?

Nejen srdce a cukrovka. Mezizubní kaz a zánět dásní jsou spojeny i s:

  • Demencí a Alzheimerovou chorobou: Bakterie z ústní dutiny byly nalezeny v mozku pacientů s Alzheimerem. Studie z Univerzity v New Yorku (2025) ukázaly, že tyto bakterie mohou přispívat k uvolňování neurotoxických bílkovin.
  • Pretermínovým porodům: Ženy s nelečeným zánětem dásní mají vyšší riziko porodu předčasně. Zánětlivé látky v krvi mohou ovlivnit placentu a způsobit předčasnou kontrakci dělohy.
  • Chronickými onemocněními plic: Když se bakterie z úst přenášejí do plic, mohou způsobit pneumonii nebo zhoršit COPD. To je zvláště důležité u starších lidí nebo pacientů s oslabeným imunitním systémem.
  • Zvýšeným rizikem rakoviny: Některé studie ukazují, že chronický zánět z ústní dutiny může podporovat vývoj rakoviny pánve, plic nebo slinivky břišní.

Ne každý s mezizubním kazem tyto komplikace vyvine. Ale riziko roste s délkou trvání zánětu. A to je ten problém - mnoho lidí to ignoruje, dokud to nezačne bolet.

Schematický obrázek těla s bakteriemi z úst šířícími se do srdce, mozku a plic.

Co můžete dělat, abyste to zastavili?

Nejlepší způsob, jak zabránit mezizubnímu kazovi, není silnější štětec. Je to mezizubní čištění. Zubní štětec čistí jen 60 % povrchu zubů. Zbylých 40 % - ty, kde se kaz začíná - vyžaduje něco jiného.

Tady je, co funguje:

  1. Užívejte mezizubní nitě každý den: Nejde o to, jestli používáte nitě, mezizubní kartáčky nebo vodní proud. Důležité je, abyste to dělali každý večer. Více než 80 % lidí, kteří pravidelně používají mezizubní čištění, má výrazně méně zánětů dásní.
  2. Používejte fluoridovou zubní pastu: Fluorid posiluje sklovinku a brání kyselině ničit zub. Nejlepší jsou pasty s 1450 ppm fluoridu - to je standardní dávka v Česku.
  3. Navštěvujte zubaře každých 6 měsíců: Zubař může detekovat mezizubní kaz ještě předtím, než ho uvidíte vy. Rentgenový snímek mezi zuby je jediný spolehlivý způsob, jak ho najít včas.
  4. Omezte cukr a sladké nápoje: Každý sladký nápoj nebo zpracovaný snack dává bakteriím palivo. Pokud jíte sladké věci, dělejte to během jídla, ne mezi nimi.

Co dělat, když už máte mezizubní kaz?

Než se ztratíte v panice - záleží na tom, jak daleko kaz pokročil.

  • Na začátku: Pokud je kaz jen na povrchu sklovinky, zubař ho může odstranit a zub naplnit. To je rychlé, bezbolestné a levné.
  • Když kaz dosáhl zubního nitra: Bude potřeba kořenová léčba. To znamená, že zubař odstraní infikované nervy a zub zapečetí. Bez toho může dojít k infekci v čelisti - a ta může být životně ohrožující.
  • Když je zub ztracen: Pokud se zub ztratí, je třeba ho nahradit. Ztracený zub způsobuje posuny ostatních zubů, což vede k dalšímu kazu a problémům s žvýkáním.

Nejhorší je, když lidé čekají, dokud to nebolet. Většina lidí, kteří se nechají zubní kaz vyvinout, nakonec zaplatí dvojnásobek - v čase, bolesti a penězích.

Žena čistící mezizuby večer, s odrazem zubního rentgenu v zrcadle.

Kdo je nejvíce ohrožen?

Některé skupiny lidí mají vyšší riziko:

  • Děti a dospívající: Často nečistí mezizuby, protože neví, jak to dělat.
  • Starší lidé: S věkem se dásně stahují, což zpřístupňuje kořeny zubů - a ty jsou kazu mnohem více vystaveny.
  • Diabetici: Mají slabší imunitu a pomalejší hojení. Zánět dásní se u nich rychleji rozvíjí.
  • Lišťáci a kouřiči: Tabák způsobuje zhoršení krevního oběhu v dásních, což brání hojení a zvyšuje riziko infekce.

Nemusíte být žádným z těchto typů, abyste měli mezizubní kaz. Ale pokud patříte do jedné z těchto skupin, ještě víc si na to musíte dávat pozor.

Co se stane, když to ignorujete?

Když mezizubní kaz necháte běžet, neznamená to jen, že ztratíte zub. Znamená to, že začínáte ničit své celkové zdraví. Každý zánět v ústech je jako malý požár v těle - a když ho nespravíte, požár se rozšíří. Bakterie se šíří do krve, způsobují zánět v jiných orgánech, a vaše imunita je stále v boji. To znamená, že vaše tělo je v neustálém stresu. A to způsobuje únavu, bolesti kloubů, problémy se spánkem - a v dlouhodobém horizontu i zvýšené riziko chronických onemocnění.

Nejde o to, jestli máte špatné zuby. Je to o tom, jestli vaše tělo může být zdravé, když v něm trvale hoří zánět.

Je mezizubní kaz stejný jako zubní kaz na povrchu zubu?

Ne. Mezizubní kaz se vyskytuje mezi zuby, kde zubní štětec nedosáhne. Kaz na povrchu zubu je vidět a často se projevuje tmavou skvrnou. Mezizubní kaz je skrytý, často bez příznaků, až do pozdního stadia, kdy začne bolet. Je těžší ho detekovat bez rentgenového snímku.

Může mezizubní kaz způsobit ztrátu více než jednoho zubu?

Ano. Když se kaz šíří mezi zuby a způsobí zánět dásní, může vést k parodontitidě - onemocnění, které ničí kost kolem zubů. Když kost ztratíte, zuby se začnou hýbat a nakonec padají. Jedna náležitá mezizubní dutina může být počátkem celkového ztráty zubního systému.

Je mezizubní čištění skutečně tak důležité, jak říkají?

Ano. Studie z Univerzity v Ženevě (2023) ukázaly, že lidé, kteří čistí mezizuby každý den, mají o 70 % méně zánětů dásní než ti, kteří to dělají jen někdy. Bez mezizubního čištění je riziko kazu mezi zuby téměř 100 %. Štětec sám o sobě nestačí.

Může mezizubní kaz způsobit zápach z úst?

Ano. Bakterie, které způsobují mezizubní kaz, produkují siřičité látky - které mají špatný zápach. Pokud máte stálý zápach z úst, i když si čistíte zuby, může to být příznak skrytého kazu mezi zuby.

Je možné mezizubní kaz vyléčit doma?

Ne. Když je kaz na povrchu, můžete zpomalit jeho rozvoj dobrým čištěním. Ale když se kaz dostane pod povrch sklovinky, už není možné ho odstranit doma. Pouze zubař může odstranit poškozenou část a zub naplnit. Čekání na „sám to zvládne“ znamená ztrátu zubu.