Zubní kámen pod dásní: jaké jsou příznaky a co s ním dělat?

Zubní kámen pod dásní: jaké jsou příznaky a co s ním dělat?

pro, 2 2025

Ověřte, zda máte zubní kámen pod dásní

Zkontrolujte, zda máte příznaky zubního kamene pod dásní. Tato aplikace vám pomůže posoudit riziko a poskytne doporučení, která kroky byste měli podniknout.

Vyberte příznaky, které zaznamenáváte:

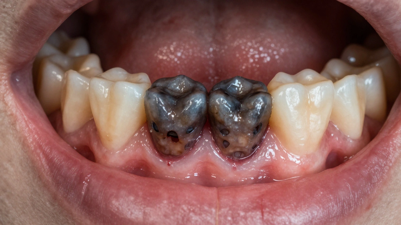
Zubní kámen pod dásní je jedna z nejčastějších příčin dlouhodobého zánětu dásní a postupného ztráty kosti kolem zubů. Mnoho lidí si ho vůbec nevšimne, protože se neobjevuje na viditelné části zubů, ale pod dásní, kde je skrytý a neviditelný. A právě proto je tak nebezpečný. Když začnete cítit, že vám dásně krvácejí při čištění, nebo že máte zápach z úst, i když si pravidelně čistíte zuby, nemusí jít jen o špatnou hygienu. Může to být příznak zubního kamene pod dásní.

Co je vlastně zubní kámen pod dásní?

Zubní kámen je tvrdý nános, který vzniká, když se zubní plak - měkká vrstva bakterií - postupně vápencuje. Ten se na povrchu zubů tvoří každý den, ale pokud ho neodstraníte pravidelným čištěním, ztuhne za 10-14 dní. Když se tento kámen tvoří pod dásní, hovoříme o subgingiválním kamenu. Ten je zvlášť problémový, protože se vytváří přímo v mezích mezi zubem a dásní, kde se bakterie zadržují a vytvářejí chronický zánět.

Na rozdíl od kamene na viditelné části zubů, který může být žlutý nebo hnědý, kámen pod dásní je často tmavě šedý nebo černý. Je těžký, tvrdý a neodstranitelný běžným kartáčkem nebo nití. Jediný způsob, jak ho odstranit, je profesionální čištění u zubního lékaře nebo hygienistky.

Jaké jsou příznaky zubního kamene pod dásní?

Největší nebezpečí zubního kamene pod dásní je, že v počátečních fázích nezpůsobuje bolest. Mnoho lidí ho má po letech, aniž by to věděli. Ale tělo dává jasná varování. Pokud si všimnete některého z těchto příznaků, neodkládejte návštěvu zubního lékaře:

  • Krvácení dásní - i když si jen lehce čistíte zuby nebo používáte nit, dásně krvácí. To není normální. Je to první známka zánětu.
  • Odplavené dásně - dásně se začínají stahovat a zuby vypadají delší. To je způsobeno ztrátou kosti kolem zubů, kterou způsobuje zánět.
  • Zápach z úst - i když si pravidelně čistíte zuby, zápach přetrvává. Bakterie pod dásní vydávají pachy, které se neodstraní běžným čištěním.
  • Zvětšené nebo zčervenalé dásně - místo růžové barvy jsou dásně tmavě červené, otoklé a citlivé na dotyk.
  • Uvolněné zuby - pokud cítíte, že některý zub se hýbe, i když na něj neklepáte, je to vážný signál. Kost kolem něj už je značně poškozená.
  • Bolest při žvýkání - když začnete cítit tlak nebo bolest, když jíte, znamená to, že zánět postoupil až k kořenům zubů.

Nejčastější chybou je ignorovat krvácení dásní. Mnoho lidí si myslí, že to je způsobeno příliš silným čištěním. Ve skutečnosti je to přesně opak - dásně krvácí, protože jsou infikované a zánětlivé. Čištění je nutné, ale ne tak, aby se způsobil další poškození.

Proč se zubní kámen pod dásní tvoří?

Zubní kámen pod dásní se nevytváří náhodou. Je to výsledek dlouhodobého zanedbávání hygieny, ale také výsledek některých rizikových faktorů:

  • Nedostatečné čištění - pokud si nečistíte zuby alespoň dvakrát denně nebo nečistíte mezery mezi zuby, plak se hromadí.
  • Nepravidelné návštěvy u hygienistky - profesionální čištění každých 6-12 měsíců je klíčové. Bez něj se kámen tvoří i u lidí, kteří si zuby čistí dobře.
  • Kouření - nikotin snižuje krevní oběh v dásních, což zpomaluje hojení a umožňuje bakteriím se lépe upevnit.
  • Diabetes - lidé s cukrovkou mají vyšší riziko zánětů dásní, protože jejich tělo lépe bojuje s infekcemi.
  • Genetika - někteří lidé mají vrozenou náchylnost k rychlejšímu tvorbě kamene, i když mají skvělou hygienu.
  • Stres - zvyšuje hladinu kortizolu, což oslabuje imunitní systém a zhoršuje schopnost těla bojovat s bakteriemi v ústech.

Nejčastěji se zubní kámen pod dásní objevuje u lidí ve věku 35-55 let, ale u kouřáků a lidí s diabetem se může objevit i dříve. Není to věkem, ale chováním a zdravotním stavem, co rozhoduje.

Průřez zubu a dásně ukazující tvorbu kamene pod dásní a ničení kosti bakteriemi.

Co se stane, když to necháte být?

Když zubní kámen pod dásní ignorujete, zánět se postupně rozšiřuje. Začíná jako gingivitida - zánět dásní, který je vratný. Ale pokud ho neodstraníte, přechází do periodontitidy - zánětu, který poškozuje kost a vaziva, která drží zuby na místě.

Na konci tohoto procesu může dojít k:

  • Ztrátě jednoho nebo více zubů
  • Prostupu infekce do krevního oběhu (vzácně, ale možné)
  • Zvýšenému riziku srdcových onemocnění a mrtvice
  • Zhoršení kontroly cukrovky u pacientů s diabetem

Podle výzkumů z Ústavu zubního lékařství v Praze má 78 % lidí ve věku nad 40 let nějakou formu zubního kamene pod dásní, z toho 32 % již má ztrátu kosti. A většina z nich si toho nevšimla, dokud nebylo pozdě.

Co můžete dělat, abyste to zastavili?

První krok je vždy návštěva zubního lékaře. Při první návštěvě vám lékař nebo hygienistka provedou sondování dásní - změří hloubku mezery mezi zubem a dásní. Normální hloubka je 1-3 mm. Pokud je více než 4 mm, znamená to, že se pod dásní tvoří kapsa, kde se hromadí bakterie a kámen.

Poté se provede skalpelové čištění - odborný přístroj (ultrazvuk nebo ruční nástroje) odstraní kámen pod dásní. Někdy je potřeba i odstranění infikované tkáně, pokud je zánět pokročilý. Toto je běžná a bezbolestná procedura, která se provádí pod místním anestetikem.

Po čištění je důležité:

  • Čistit zuby dvakrát denně - používejte elektrický kartáček s měkkými štětinami
  • Používat mezizubní kartáčky nebo nit - nejen pro viditelné mezery, ale i pro ty pod dásní
  • Pravidelně navštěvovat hygienistku - každých 6 měsíců, nebo podle doporučení
  • Přestat kouřit - to je jedna z nejúčinnějších věcí, které můžete udělat pro zdraví dásní
  • Přemýšlet o výživě - dostatek vitamínu C a D podporuje hojení dásní

Někteří lidé si myslí, že po čištění je vše v pořádku. Ale kámen se může opět tvořit - často už za 3-6 měsíců. Pravidelná kontrola je klíč k tomu, abyste zůstali bez problémů.

Zubní nástroje vedle kartáčku, symbolizující profesionální léčbu proti skrytému zubnímu kameni.

Co nechat být - a co dělat hned?

Nikdy nečekejte na bolest. Pokud máte některý z těchto příznaků, jděte k lékaři:

  • Krvácení dásní při čištění - i když je to jen občas
  • Zápach z úst, který nezmizí po čištění
  • Odplavené dásně - zuby vypadají delší než dříve
  • Uvolněný zub - i když je jen trochu

Nechte se vyšetřit, i když si myslíte, že to není nic závažného. Většina lidí, kteří ztratili zuby kvůli zubnímu kamenu pod dásní, říká: „Myslel jsem, to se samo vyřeší.“

Je možné zubní kámen pod dásní odstranit doma?

Ne. Žádný domácí prostředek - ani čištění solí, peroxidem, nebo „zubními skrabkami“ z internetu - neodstraní kámen pod dásní. Tyto metody mohou poškodit dásně ještě víc. Kámen je tvrdý jako kámen - a nejde jej odstranit bez speciálních nástrojů, které používají zubní hygienistky a lékaři.

Domácí hygiena je důležitá pro prevenci, ale ne pro léčbu. Pokud máte kámen pod dásní, potřebujete odbornou péči.

Může zubní kámen pod dásní způsobit ztrátu zubů?

Ano. Kámen pod dásní způsobuje chronický zánět, který postupně ničí kost kolem zubů. Když kost ztratíte, zub ztratí oporu a začne se hýbat. Pokud se to nezastaví, zub se vypne. To je jedna z nejčastějších příčin ztráty zubů u dospělých.

Je zubní kámen pod dásní nakažlivý?

Ne, samotný kámen není nakažlivý. Ale bakterie, které ho tvoří, se mohou přenášet - například při sdílení lžíce, čištění zubů nebo políbení. Pokud máte zubní kámen, vaše bakterie mohou zhoršit hygienu vašich blízkých. Proto je důležité léčit ho a dbát na hygienu celé rodiny.

Může se zubní kámen pod dásní vrátit po čištění?

Ano, pokud nezměníte své návyky. Kámen se může opět tvořit za 3-6 měsíců, pokud si nečistíte mezery mezi zuby, nečistíte pravidelně nebo kouříte. Pravidelná kontrola u hygienistky je jediný způsob, jak to zabránit.

Je čištění pod dásní bolestivé?

Většinou ne. Lékař použije místní anestetikum, pokud je zánět závažný. V mnoha případech je procedura jen mírně nepříjemná. Po ní může být dásně citlivé na teplotu, ale to zmizí za pár dní. Nečekání na bolest je vždy horší volba.

Jak často bych měl chodit na kontrolu, pokud už jsem měl kámen pod dásní?

Po léčbě se doporučuje kontrola každých 3-4 měsíce, dokud se stav nezlepší. Poté, pokud je dásně zdravé, stačí každých 6 měsíců. U kouřáků nebo lidí s cukrovkou se častější kontroly doporučují po celý život.

Co dělat dál?

Nechte se vyšetřit. Nečekejte, až vás něco začne bolet. Krvácení dásní není normální. Zápach z úst není jen „váš problém“ - je to signál těla, že něco není v pořádku. A ztráta kosti kolem zubů není vratná - jednou ztracená, nevrátí se.

První krok je jen jeden: zavolejte svému zubnímu lékaři nebo hygienistce. Nejde o nějakou velkou proceduru. Je to jen kontrola, která vám může zachránit zuby, které máte už teď. A to je víc než jen o zdraví úst - je to o tom, jak budete jíst, mluvit a usmívat se příštích 30 let.