Komplexní péče o tetracyklinové zuby: Odborné rady a tipy

Komplexní péče o tetracyklinové zuby: Odborné rady a tipy

dub, 10 2024

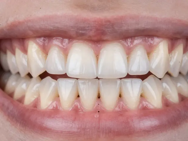
Charakteristika a výzvy tetracyklinových zubů

Tetracyklinové zuby jsou specifickým stavem, který nastane u lidí, kteří byli v dětství vystaveni antibiotikům ze skupiny tetracyklinů. Tyto léky mohou narušit normální vývoj zubní skloviny, což vede k trvalému zabarvení zubů v odstínech od žluté po hnědou. Tato problematika je často zdrojem estetických i psychologických problémů. Správná péče o tetracyklinové zuby vyžaduje specifický přístup, protože jsou náchylnější k poškození a dalším komplikacím. Odborná péče o zuby a pravidelné návštěvy u zubního lékaře jsou zásadní pro dlouhodobě dobrý stav ústní dutiny.

Naštěstí dnešní stomatologie nabízí různé metody, jak tetracyklinové zuby nejen léčit, ale i esteticky zlepšovat. Přesto je důležité si uvědomit, že prevence a pravidelná péče jsou klíčové pro zachování zdraví a krásy těchto zubů.

Pravidelná a specifická domácí péče

Domácí péče o tetracyklinové zuby vyžaduje zvýšenou pozornost a pravidelnost. Používání měkkého zubního kartáčku a zubní pasty určené pro citlivé zuby pomůže chránit zubní sklovinu a zároveň odstraňovat povlaky bez nadměrného poškozování. Je důležité omezit konzumaci potravin a nápojů, které mohou způsobit další zabarvení, jako jsou káva, čaj, víno, a tmavé ovocné šťávy. Nedílnou součástí domácí péče by také mělo být používání zubní nitě, která pomáhá v boji proti plaku v mezizubních prostorech.

Pravidelné používání ústní vody s obsahem fluoridu může pomoci posílit zubní sklovinu a předcházet vzniku zubního kazu. Kromě toho je vhodné zahrnout do každodenní rutiny kontrolu zdraví dásní, jelikož zánět dásní může mít negativní vliv nejen na celkové zdraví ústní dutiny, ale i na estetický vzhled zubů.

Profesionální péče a možnosti léčby

Při návštěvě zubního lékaře je důležité informovat ho o tom, že máte tetracyklinové zuby. Tato informace pomůže při volbě nejvhodnější metody léčby a péče. Specializované zubní čištění, použití speciálních leštidel či profesionální fluoridace mohou být efektivní v boji proti povlakům a zároveň chránit zuby před dalšími poškozeními. Existují také moderní metody bělení zubů, které jsou vhodné i pro tetracyklinově postižené zuby, ale vždy je důležitá konzultace s odborníkem.

V některých případech může být vhodná estetická stomatologie, jako jsou keramické fasetky, které mohou značně zlepšit vzhled zubů bez potřeby jejich bělení. Fasetky nejenže zakryjí nežádoucí zabarvení, ale také posílí zubní sklovinu. Tato opatření mohou být investicí do sebevědomí a spokojenosti s vlastním úsměvem.

Metody bělení tetracyklinových zubů

Je důležité vědět, že bělení tetracyklinově postižených zubů může být složitější než bělení běžných zubů. Tradiční metody bělení nemusí mít požadovaný účinek, a proto se často doporučují speciální metody nebo kombinace více postupů. LED bělení nebo laserové bělení mohou poskytnout lepší výsledky díky své schopnosti intenzivněji proniknout do skloviny a odstranit hlubší zabarvení. Je ale nezbytné podrobit se těmto procedurám pod dohledem zkušeného zubního lékaře.

Před zahájením jakékoliv metody bělení je důležité, aby vaše ústa byla v optimálním stavu bez přítomnosti zubního kazu nebo zánětu dásní. Odstranění této problematiky nejenom že zvýší úspěšnost bělení, ale také zajistí, že nebudou poškozeny žádné další části ústní dutiny.